Learn how to become a cardiac sonographer
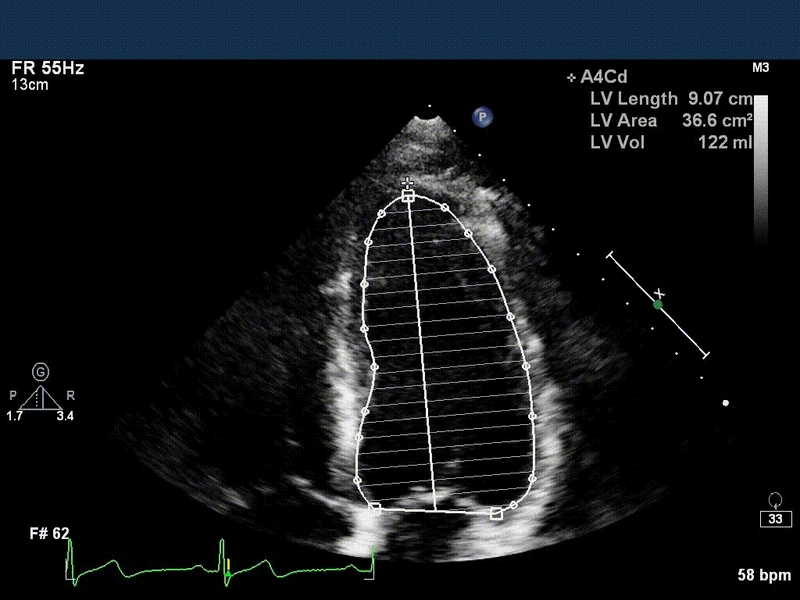
The Adult Echocardiography Program at Baylor Scott & White The Heart Hospitals Cardiovascular Institute is a certificate-level, 52-week training program that prepares students to enter the healthcare field as skilled entry-level cardiac sonographers. Graduates may work in a variety of allied healthcare settings, from large hospital centers to small outpatient clinics, performing diagnostic ultrasound examinations on the adult heart.
The program consists of didactic classroom, hands-on laboratory, and clinical externship experience with coursework designed to build upon previous classes.
The Cardiovascular Institute utilizes multiple Baylor Scott & White facilities for clinical externship training with a 1:1 clinical instructor to student ratio, which provides an excellent clinical education for each student. Experienced instructors, sophisticated audiovisual (A/V) equipment and classrooms, and a challenging didactic schedule combined with real-world clinical experience make the Cardiovascular Institute a competitive career choice in the Allied Health field of Adult Echocardiography.
Baylor Scott & White the Heart Hospitals Cardiovascular Institute Adult Echocardiography Program is accredited by the Commission on Accreditation of Allied Health Programs (www.caahep.org) upon the recommendation of the JRC-CVT.
Program goals
Students will learn to become competent entry-level cardiac sonographers in the cognitive (knowledge), psychomotor (skills) and affective (behavior) learning domains, and they will be qualified to sit for national credentialing examinations.
Graduates may work in a variety of allied healthcare settings, from large hospital centers to small outpatient clinics, performing diagnostic ultrasound examinations on the adult heart.
Faculty
J. Michael DiMaio, MD
Medical Director
Brad J. Roberts, BS, ACS, FASE
Program Director
Instructor and Clinical Coordinator, Adult Echocardiography Program
Shahzeb Khan, MD, MSc
Adjunct Faculty, The Cardiovascular Institute
Curriculum
The Adult Echocardiography program is a certificate-level, 51-week program divided into three semesters 15-17 weeks in length—Fall, Spring and Summer. The cardiac sonographer training program consists of didactic classroom, hands-on laboratory and clinical externship experience with coursework designed to build upon previous courses.
The Adult Echocardiography Program is CAAHEP accredited as of August 2021.
Eligibility for ECHO training
The application process is open to applicants who meet all of the following minimum criteria at the time of program commencement:
- 18 years of age
 - Two-year Associates Degree from an accredited college or university*
 - Six (6) hours of Human Anatomy and Physiology must be completed at an accredited college or university in the United States with a grade of "C" or better within the past 6 years
 - Possess the physical and mental qualities required to work in this profession**
 - Proof of current immunizations and TB test***
 
*Bachelors of Science degrees or higher are preferred.  
** See "Physical, Interpersonal, Communication, Mobility, Tactical, Hearing and Visual Demands", page 39.  
*** Immunizations must be current prior to school start. 
Provide this list of immunizations to your primary care provider (PCP):
- Two mumps, measles, rubella (MMR) vaccines or positive titers
 - Two varicella (chicken pox) vaccines or positive titers (history of chicken pox is not acceptable)
 - Tetanus, diphtheria, pertussis (Tdap) given after age 18 years
 - Influenza (flu) only in flu season
 - Tuberculosis (TB) test (TST within last 3 months or Quantiferion within last 6 months)
 - Hepatitis B (Recommended, but not mandatory)
 - COVID-19 vaccination is required by Baylor Scott & White Health along with our Clinical Affiliates
 
Application process
The application cycle for the 2025-2026 Cohort is now closed.
Admission to the Baylor Scott & White The Heart Hospital – Plano's Cardiovascular Institute is a competitive process and a limited number of applicants are accepted each year. The student should demonstrate a dependable, mature demeanor and interact well with other people. The student should have a genuine desire to care for the disabled and sick, and have the ability to work well under pressure
How do I apply?
Complete applications with all of the following items must be received by the school. Incomplete applications will not be processed.
- Completed application form
 - $100 application fee
 - Current resumé
 - Two letters of reference (one work/professional and one personal)
 - Academic transcript (Official only)
 - Essay (see essay guidelines below)
 - Proof of Basic Life Support (BLS) certification (must be maintained throughout the term if accepted)
 
Application essay guidelines
Your completed application must include an essay about your history and future goals in the field of cardiovascular technology. The essay must meet the following criteria:
- Two pages
 - 12-point font
 - Double-spaced
 
Use the following questions as a framework for your essay:
- Why do you want to pursue a career in cardiovascular technology?
 - How have your prior experiences prepared you for this career?
 - What specific qualities do you possess that set you part from other applicants?
 - Looking beyond graduation, what would you like to accomplish in this field?
 
Program cost
The total cost to the student for the Adult Echocardiography Program is $18,000, plus a $100 application fee (non-refundable). Program tuition includes:
- All administrative fees, lab fees, and required textbooks
 - BSW Dell Latitude laptop (Returned upon graduation)
 - Four sets of student hospital scrubs
 - One-year student-rate membership to the Society of Diagnostic Medical Sonography (SDMS), which includes access to its respected journal and members-only website content
 - One-year student-rate membership to the American Society of Echocardiography (ASE), which includes access to its respected journal and members-only website content
 - Upon successful completion of the program, examination fee reimbursement for either the CCI or ARDMS national credentialing examination for adult echocardiography
 
Outcomes
According to the United States Bureau of Labor Statistics, the job outlook for cardiac sonographers is 14% annual growth through the year 2030.
In 2020, the median salary for cardiac sonographers in the Dallas-Fort Worth metroplex was $74,600 per year.
Adult Echo class of 2025:
- Enrolled: 8
 - Retention: TBD
 - Boards: TBD
 - Jobs: TBD
 
- 
 
    Previous outcomes
Year Enrolled Retention Boards Jobs 2024 8 100% 100% 100% 2023 8 100% 100% 100% 2022 6 83% 100% 100% 2021 5 100% 100% 100%  
Resources
All students enrolled in a Cardiovascular Institute program will be expected to abide by all policies and procedures stated in the program’s Student Handbook & Catalog.
Student handbook
As you continue your education here at the Cardiovascular Institute, peruse our student handbook to familiarize yourself with our programs, policies and accolades.
Academic calendar
The Cardiovascular Institute hours of operation are 8:00 AM to 3:30 PM weekdays, except for Baylor Scott & White Health recognized holidays and school breaks.
The yearly school break schedule will be announced as soon as possible.
Working here
We hold a distinguished 3-star rating from The Society of Thoracic Surgeons (STS) for our patient care and outcomes in isolated aortic valve replacement surgery (AVR), isolated coronary bypass surgery (CABG) and AVR plus CABG surgery and Mitral Valve Repair and Replacement (MVRR). The three-star rating, one of the most sophisticated and highly regarded overall measures of quality in health care, places Baylor Scott & White The Heart Hospital – Plano among the most elite for cardiac surgery in the United States and Canada.
In addition, Baylor Scott & White The Heart Hospital – Plano has been consistently ranked as one of the top hospitals for cardiology and cardiac surgery by the US News & World Report best hospitals survey.
The School
Baylor Scott & White The Heart Hospital’s Cardiovascular Institute utilizes multiple BSWH facilities for clinical internship training with a 1:1 clinical instructor to student ratio, which provides an excellent clinical education for each student.
The school maintains experienced instructors, state-of-the-art audiovisual equipment, dedicated skills labs, and classrooms.
These educational tools, combined with a challenging didactic schedule and real-world clinical experience, make the Cardiovascular Institute a competitive choice for professional education in the Allied Health field.
Life in Plano
Plano is one of the best places for professional families to live and work. With excellent public and private schools, low crime and affordable homes, Plano provides a great environment to raise a family. With award-winning schools, world-class recreation, diverse residential neighborhoods, and a resounding hometown spirit among community members, it is easy to see why over 270,000 people call Plano home.
Why Baylor Scott & White Health
With over a decade of excellent cardiovascular care, Baylor Scott & White The Heart Hospital – Plano is known for unmatched quality care for patients and their families. We always strive to provide the country’s top cardiologists and programs to Texas. Our superb care and treatments are internationally renowned and our patients can attest to that reputation – in fact, we have treated patients from 46 states and 12 countries.